Multiple Myeloma

  1. Expertise
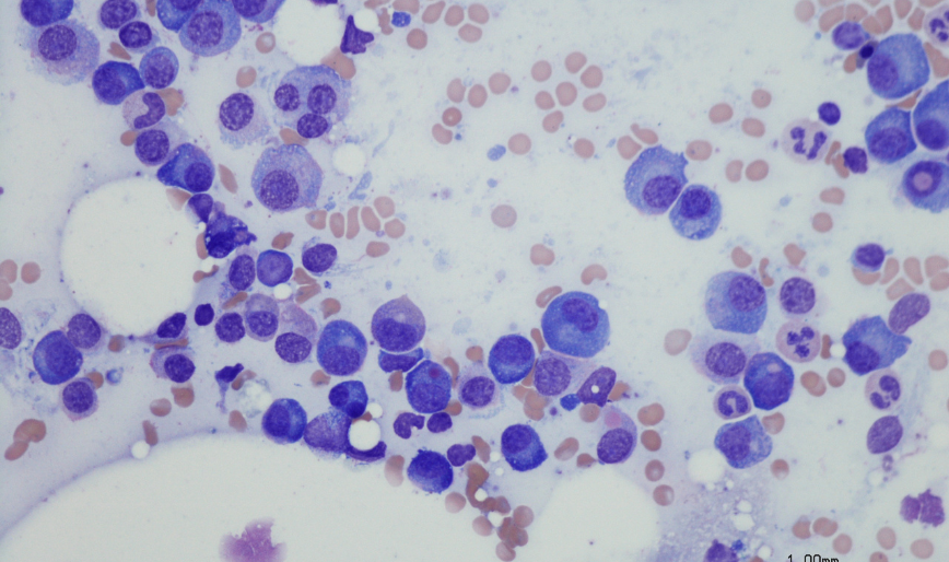
  2. Multiple Myeloma
Multiple Myeloma

Emerging Trends in Multiple Myeloma Treatment

Multiple myeloma treatment has seen transformative progress, shifting toward personalized, multi-drug regimens that extend survival and improve quality of life for patients with this plasma cell malignancy. Proteasome inhibitors like bortezomab and carfilzomib, combined with immunomodulatory drugs (e.g., lenalidomide, pomalidomide), form the backbone of induction therapy, achieving deep responses in newly diagnosed cases. Monoclonal antibodies, such as daratumomab targeting CD38, have become standard in frontline and relapsed settings, enhancing efficacy with minimal additional toxicity.

CAR T-cell therapies (e.g., idecabtagene vicleucel) and BCMA-targeted bispecific antibodies (e.g., teclistamab) offer breakthrough options for heavily pretreated patients, delivering unprecedented response rates in refractory disease. Autologous stem cell transplantation remains integral for eligible patients, supported by maintenance therapy to prolong remissions. Advances in risk stratification using cytogenetics and minimal residual disease (MRD) monitoring allow for tailored approaches, reducing relapse risks. These innovations, embedded in comprehensive care models, have dramatically improved outcomes, with many patients achieving long-term disease control.

Key Advances in Multiple Myeloma Treatment

  • Proteasome Inhibitors: Bortezomib and carfilzomib drive deep responses in induction regimens.
  • Immunomodulators: Lenalidomide and pomalidomide enhance immune-mediated tumor control.
  • Monoclonal Antibodies: Daratumumab targets CD38 for frontline and relapsed myeloma.
  • CAR T-Cell Therapies: BCMA-directed options like ide-cel for refractory cases.
  • Bispecific Antibodies: Teclistamab engages T-cells against myeloma cells effectively.
  • Stem Cell Transplants: Autologous SCT with maintenance for sustained remissions.
  • MRD Monitoring: Guides risk-adapted therapy and early relapse detection.
  • Improved Survival: Multi-drug combinations yield longer progression-free survival.

Multiple Myeloma Care

Comprehensive care and advanced treatment strategies for multiple myeloma to improve patient outcomes.

Diagnosis & Monitoring

Advanced tests for accurate diagnosis and regular monitoring to track disease progression and response.

Chemotherapy & Targeted Therapy

Tailored treatment plans including chemotherapy, immunotherapy, and targeted drugs to control disease.

Stem Cell Transplant

Autologous or allogeneic stem cell transplantation to improve survival and achieve remission where possible.

Supportive Care

Management of pain, bone health, anemia, and infections to improve quality of life during treatment.

Dr. Dibyendu De

Dr. Dibyendu De

Hematologist specializing in bone marrow transplants and patient care.

Book Appointment

Find Us